Healthy, happier smiles
A healthy smile can light up a whole room. We all realize that having a great looking smile enhances your appearance and confidence. It can also improve your overall health and well-being.
The health of your mouth and body are connected. Missing teeth, cavities, gum disease, misaligned teeth and bite can cause issues in your mouth and affect your overall health, including heart health.
Improve the beauty, health, and function of your smile with cosmetic dentistry from Brockport Smiles.
With modern technology and procedures like same day dentistry with CEREC, teeth straightening with Invisalign and comprehensive dental services, we can improve the appearance and wellness of your smile in as little as one appointment—comfortably, with very little time taken away from your busy life.
Dr. Max Thaney of Brockport Smiles has advanced skills and education in smile design and aesthetic dentistry. He is an experienced cosmetic dentist with formal training and credentials, but it's his artistic touch and compassionate approach that sets him apart. Dr. Thaney strives to deliver smiles that are as functional as they are beautiful.
If chipped, discolored or crooked teeth are keeping you from putting your best smile forward, we can help. Contact us for a consultation to explore how cosmetic dental care can improve your smile and change the way you feel about yourself.
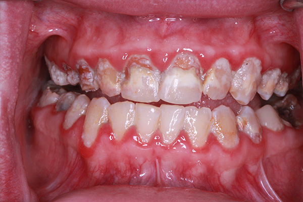
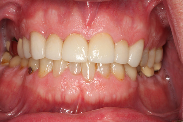
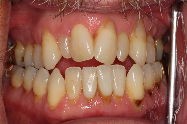
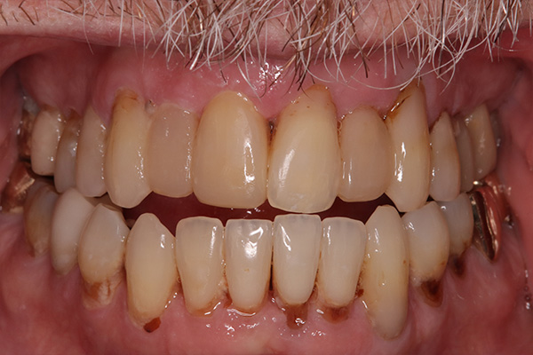
Be sure to view our dental before and after portfolio to discover what Brockport Smiles can do for your smile.
At Brockport Smiles, we aim to improve your smile's health, function, and beauty. Ready to put your best smile forward?
What if you could have all your dentistry that you have been putting off for years in the conventional dental office in one or two comfortable visits? What if you could finally receive all of the treatment while sleeping—free of fear and pain? Well...you can with sedation dentistry.
Learn MoreDental implants are an ideal way to replace missing teeth and uncomfortable dentures. Best yet, dental implants can give you a natural looking smile that is restored to its proper form and function.
Dental crowns are an excellent, natural-looking solution to enhance your smile. Best yet, by using CEREC technology dental crowns can be created and placed in office in just one visit.
Reshape your smile with dental veneers. Veneers are bonded to the front of your teeth to create a beautiful and attractive smile. With proper care, they are a lasting solution to brighten your smile.
Straighten your teeth without metal braces with Invisalign. By using a series of clear, comfortable and removable aligners you can achieve a straight smile in as little as one year.
Whiten and brighten your smile in one appointment with in-office whitening. Our take-home bleaching kits can be used in the convenience of your own home with results in 7 to 10 days with daily use.
We have received your form submission and appreciate your feedback. If you have any additional questions or comments please feel free to contact us directly.
We hope to see you again soon!





