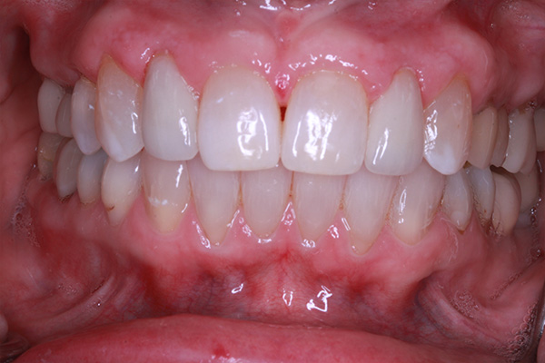
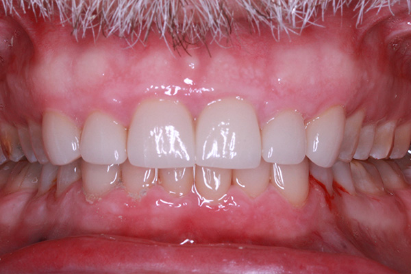
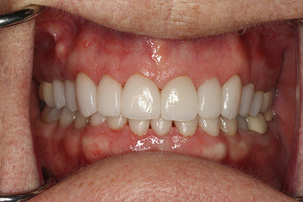
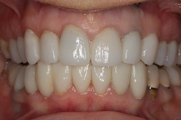
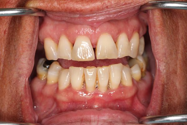
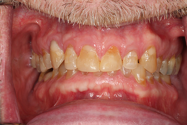
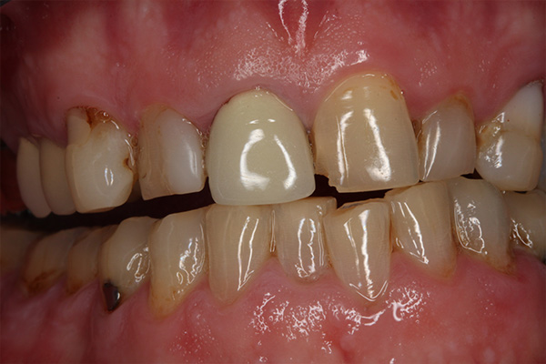
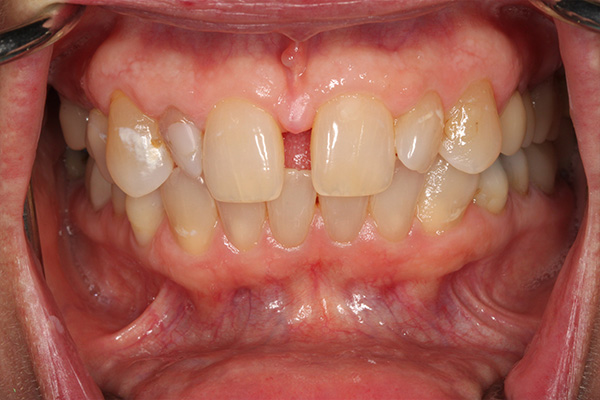
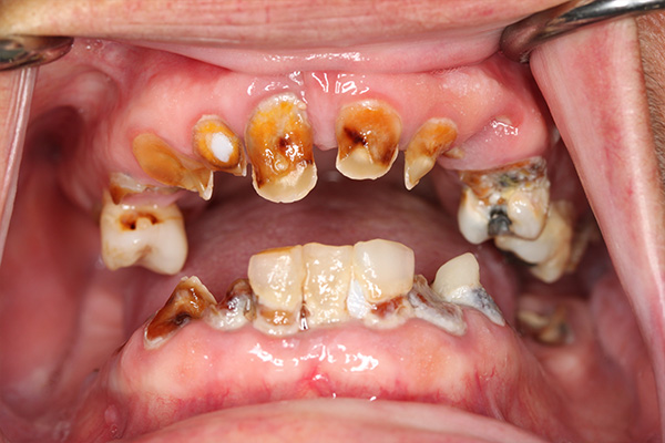
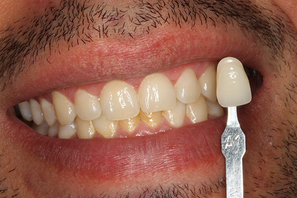
Crowns on upper front teeth 6-11 and lower front teeth 22-27 Crowns on the molars and bicuspids on the upper right and lower right. 3/4/5/28/29/30.
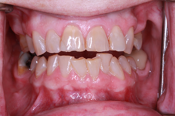
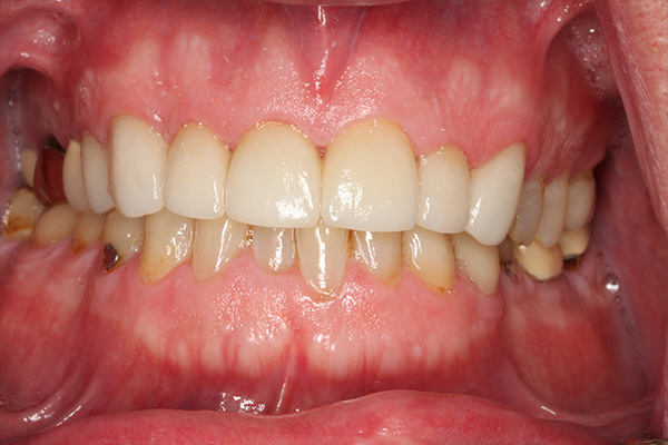
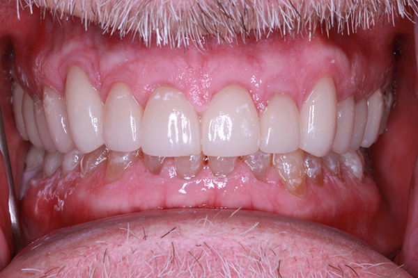
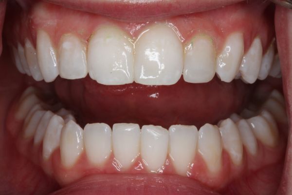
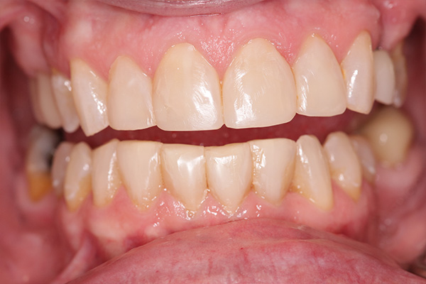
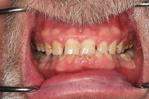
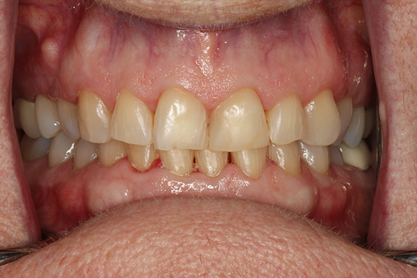
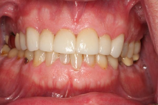
Crowns on lower front teeth 22-27.
There’s no reason to feel like you have to hide your smile. After years of lacking confidence because of stains and misalignment, Kevin came to us ready to make a change. With Invisalign® we were able to straighten his teeth and improve his bite for a more attractive and functional smile. We also provided professional whitening to brighten his smile in just a few weeks. For a consistent look we placed a veneer to ensure that his teeth all had the same pearly white shade. Now Kevin doesn’t have to answer questions about his teeth or feel insecure, instead he can smile with confidence.
After dealing with years of erosion and stains, this patient came to us to learn more about how to improve her smile. With dental crowns, we were able to restore her teeth with a natural, white and confident smile. We understand that sometimes life prevents us from making our way to the dentist, but this patient was pleased to learn that it's never too late to receive the dental care you need and deserve.
It’s never too late to restore and rejuvenate your smiles. After years of hiding her smile, this patient decided she had enough. With new upper and lower dental crowns and veneers on her front teeth, now she has the confidence to flash her pearly whites.
As a young professional, this patient understood the importance of a healthy, attractive smile. Wanting to fix the distracting gaps between the teeth but not wanting to wear metal braces, we opted to straighten her smile with Invisalign®. After completing Invisalign® treatment, we brightened this patient’s smile using professional whitening and replaced metal fillings with anterior composites. The final result…a stunning smile that helped boost her confidence.
With gaps between her teeth, discoloration and tooth decay, this patient visited us looking to rejuvenate her smile. With a full upper dental implant and dental crowns, we were able to give her a natural-looking, pearly white smile that made her look and feel younger.
Accidents happen. From a sudden slip leaving you with a chipped tooth, to years of avoiding the dentist out of fear from previous dental experiences, our smile takes the wear. This patient suffered from tooth decay, a crooked smile and a chipped front tooth. Opting for dental crowns to restore his smile, his teeth now look and feel natural, and his smile is restored back to health and function.
After years of wear, tear, and staining, our patient was looking to get his confident smile back. With our state-of-the-art CEREC dental technology, in one easy visit he was in and out of our office, leaving with a brighter and more confident smile! Aside from this procedure requiring only one appointment and the natural aesthetic of the CEREC crowns, they are also extremely durable - so his vibrant smile won’t be going anywhere for a long time!
Three years ago I was lucky enough to marry my best friend, and thanks to Dr. Thaney and his amazing team at Brockport Smiles, I was able to do so with a beaming, straight, and glowing smile! Dr. Thaney provided me with his meticulous care and expertise with Invisalign, and I cannot express how painless and easy the entire process was! Dr. Thaney and his staff truly make you feel like an old friend from the moment you walk in the office. Everyone is so personable, friendly, and you can tell that they truly care about your happiness and well-being. Every visit I was met with warm greetings and bubbly questions about wedding planning from the lovely office staff and dental assistants! It was such a joy to feel so at home in a medical office! I also received a teeth whitening procedure before the wedding. Between that and my newly straight smile, I could barely stop looking in the mirror! I had such a renewed confidence and I cannot fully express how grateful I am to the entire staff at Brockport Smiles for giving me such a wonderful experience, and such confidence on my wedding day. I would highly recommend this dental office to anyone!
You’re never too old to put your best smile forward! For this patient, a lifetime of multiple failed bridges and discomfort was part of aging. Complicating matters, like so many patients in need of significant dental work, our patient was afraid of the dentist. Experiences early on in life had taught her to fear the dentist and that a trip to the dentist was associated with pain. As a result, she was self-conscious about her teeth and her appearance. Her teeth had darkened and become stained—symptoms that only exacerbated the crookedness of her smile. With help from sedation dentistry, we provided the life-changing treatment that our patient so desperately wanted. After several new dental implants, laser gum surgery to address underlying gum disease and new pearly white veneers we straightened her teeth and gave her the smile she’d always wanted. Today, our patient is all smiles and wonders why she deferred treatment for so long!
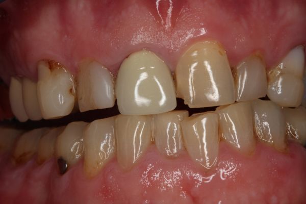
Smile restored after fracturing two front teeth.
We have received your form submission and appreciate your feedback. If you have any additional questions or comments please feel free to contact us directly.
We hope to see you again soon!
64 North Main Street
Brockport, NY 14420
Existing Patients: (585) 637-6884
New Patients: (585) 299-5488
Mon: 8:00am - 5:00pm
Tues - Thurs: 7:30am - 4:30pm
© Brockport Smiles. All Rights Reserved. | Accessibility Policy | Privacy Policy
Dentist Near Me | Dentist in Brockport
Disclaimer: We won't send you spam. You will receive follow up emails and can unsubscribe at any time.
Last Updated: March 17th, 2026 10:05 PM