Brockport Ceramic Crowns | Dental Crowns in Brockport | Dental Crowns 14420 Skip Menu
Continue

Existing Patients: (585) 637-6884
New Patients: (585) 299-5488
64 North Main Street, Brockport, NY 14420
  • Home
  • Smile Makers
    • Maxwell Thaney, DDS
    • Lindsey Barber, DDS
    • Your Team
  • Locations
    • Brockport
    • Holley
  • For Patients
    • New Patients
    • Forms
    • Payment Options
    • Recommended Products
  • Savings Plan
  • Portfolio
    • In the Community
    • Community Events
    • Smile Gallery
    • Office Tour
    • Areas Served
  • Services
    • Family/General Dentistry
    • One Visit Dentistry
    • Body Mouth Connection
    • Crowns and Bridges
    • Dental Implants
    • Dentures
    • Dental Emergencies
    • Cosmetic Dentistry
    • Sedation Dentistry
    • Sleep Apnea
    • Smile Makeovers
    • Veneers
    • Teeth Whitening
    • Invisalign®
    • Restorative Care
  • Technology
  • Reviews
  • Careers
  • Contact
    • Contact Us
    • Request Appointment
    • Careers
    • Directions
  • Pay Now

Crowns and Bridges

Single Visit Dental Crowns

One of our goals at Brockport Smiles is to make dental care convenient for our patients. We call it the fresh approach to dentistry. We do this by providing dental care to every member of the family—adults and children—to offering convenient appointment times. Our patients also enjoy the ease and simplicity of getting custom-made dental crowns in a single appointment, a service we offer thanks to our investment in CEREC.

About Dental Crowns

Dental crowns are a great solution to improve and restore your smile. Besides strengthening a damaged or badly decayed tooth, a dental crown can be used to improve a tooth's appearance, shape or alignment. Dental crowns are natural-looking and long-lasting, and can enhance your smile.

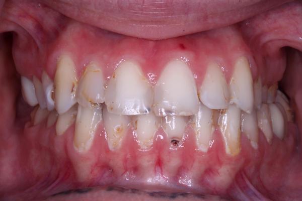
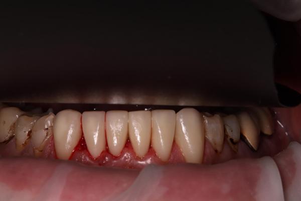
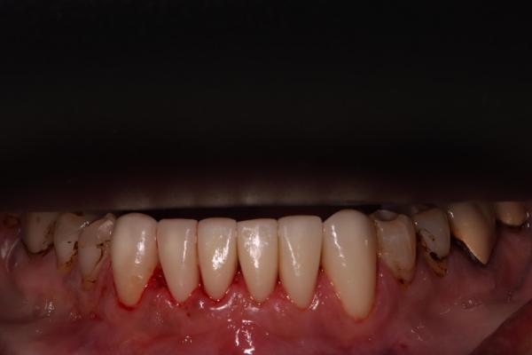
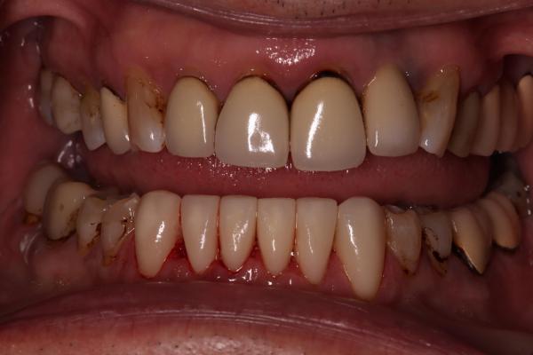
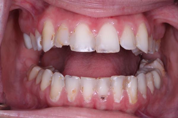
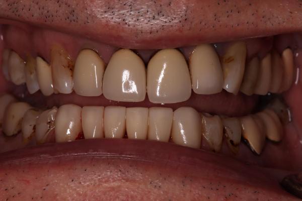
Before & After

Crowns on lower front teeth 22-27

CEREC® One-Visit Dentistry

If you have ever had a crown or "cap" placed to restore a damaged tooth, you likely had to make multiple visits to your dentist for impressions to be made, placement of a temporary crown and placement of the final restoration after adjustments.

Thanks to CEREC dentistry, we can now create a precision-crafted crown restoration in just one visit. Single-visit crowns are natural-looking, tooth-colored restorations that fit and function perfectly.

Crowns on upper front teeth 6-11 and lower front teeth 22-27 Crowns on the molars and bicuspids on the upper right and lower right. 3/4/5/28/29/30.

Dental Bridges

If you have one or more missing tooth, we can restore your smile with a bridge. A dental bridge is made up of a replacement tooth or teeth that fill the space of one or more missing teeth. The replacement tooth or teeth literally "bridges the gap" to fill in the space of the missing teeth.

While both bridges and crowns can be made from a range of materials, we believe in the philosophy that dental care treatment should complement your natural smile. With our CEREC restorations, we only use high quality ceramic to create remarkably natural-looking and long-lasting restorations.

Ready to Schedule?

Please fill out the following:

Thank You

We have received your form submission and appreciate your feedback. If you have any additional questions or comments please feel free to contact us directly.

We hope to see you again soon!

Submit
contact us