Brockport Smiles: Smile Gallery - Providing All on 6®, All on 4® Services Skip Menu
Continue

Existing Patients: (585) 637-6884
New Patients: (585) 299-5488
64 North Main Street, Brockport, NY 14420
  • Home
  • Smile Makers
    • Maxwell Thaney, DDS
    • Lindsey Barber, DDS
    • Your Team
  • Locations
    • Brockport
    • Holley
  • For Patients
    • New Patients
    • Forms
    • Payment Options
    • Recommended Products
  • Savings Plan
  • Portfolio
    • In the Community
    • Community Events
    • Smile Gallery
    • Office Tour
    • Areas Served
  • Services
    • Family/General Dentistry
    • One Visit Dentistry
    • Body Mouth Connection
    • Crowns and Bridges
    • Dental Implants
    • Dentures
    • Dental Emergencies
    • Cosmetic Dentistry
    • Sedation Dentistry
    • Sleep Apnea
    • Smile Makeovers
    • Veneers
    • Teeth Whitening
    • Invisalign®
    • Restorative Care
  • Technology
  • Reviews
  • Careers
  • Contact
    • Contact Us
    • Request Appointment
    • Careers
    • Directions
  • Pay Now

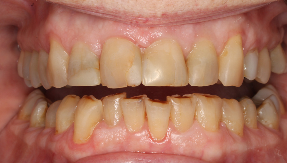
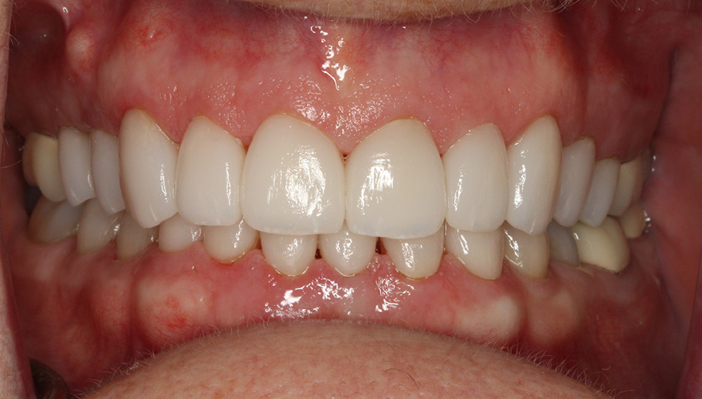
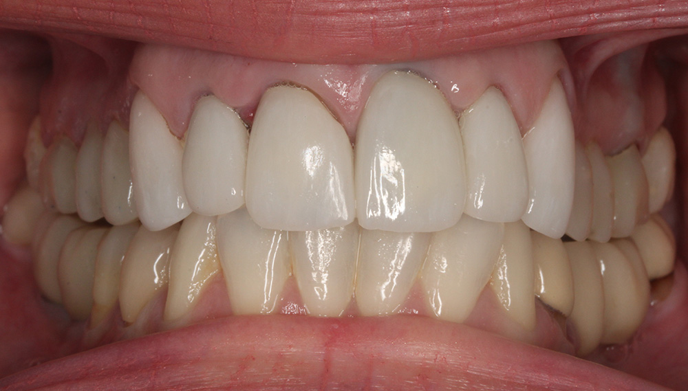
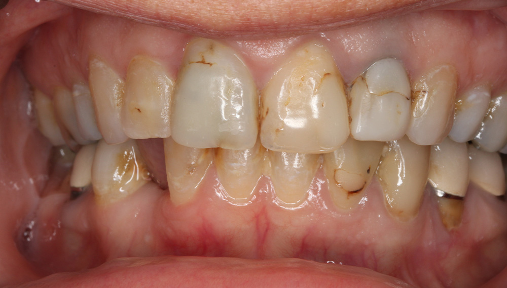
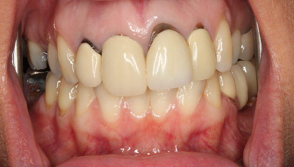
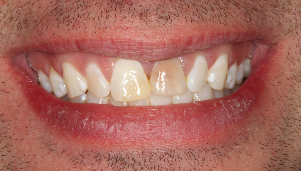
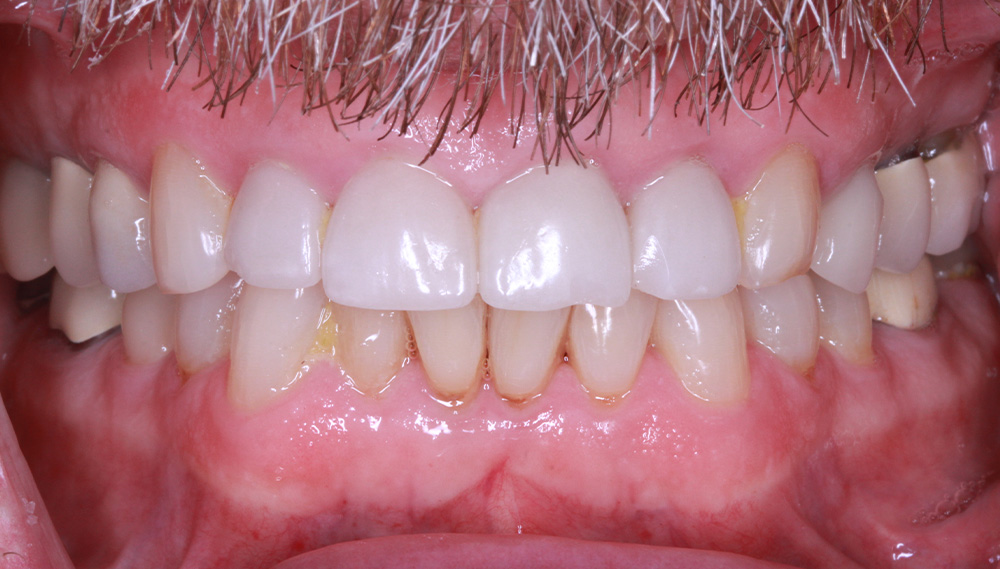
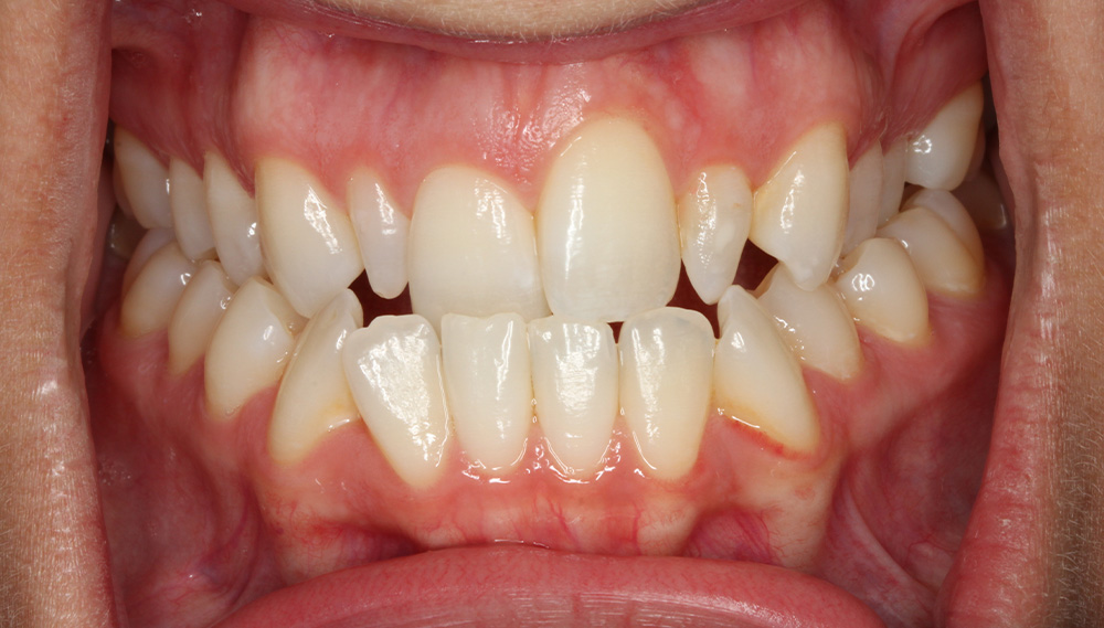
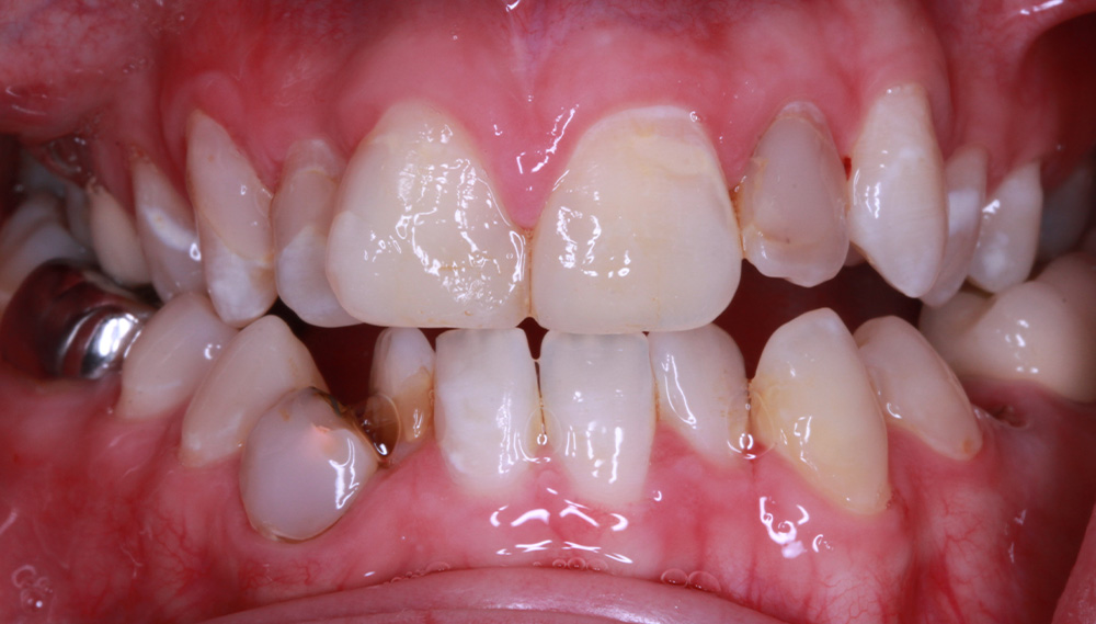
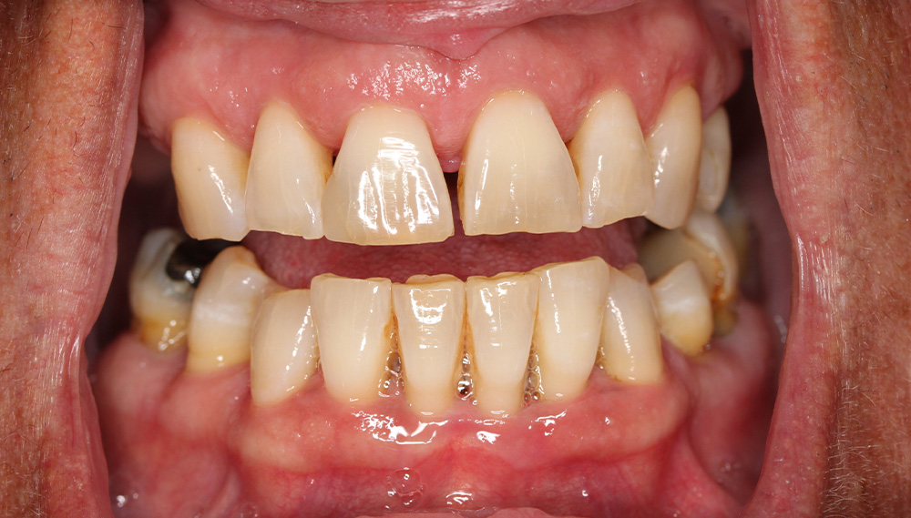
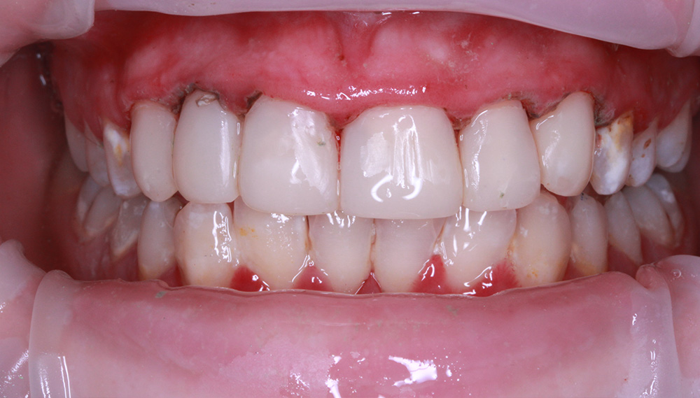
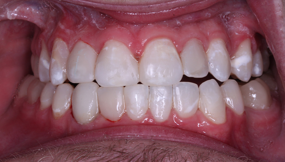
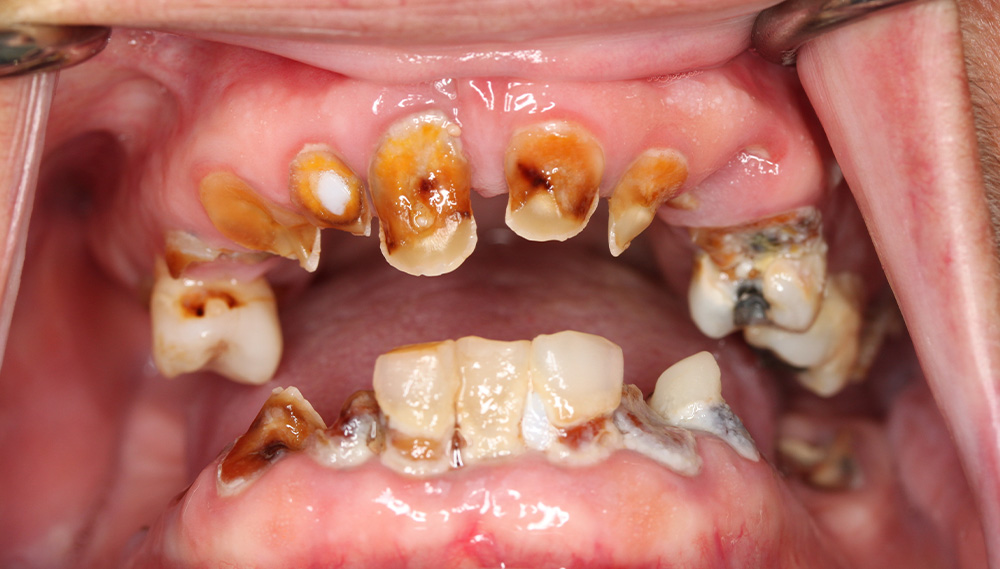
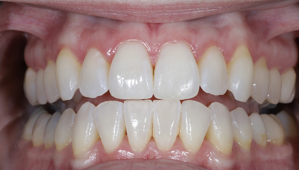
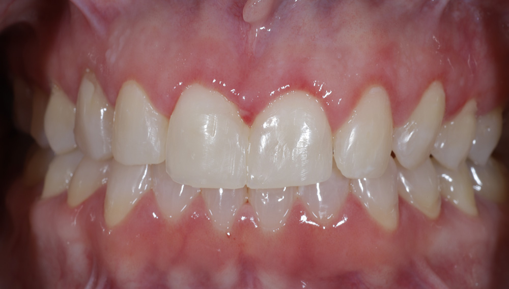
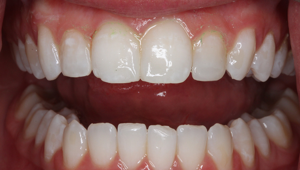
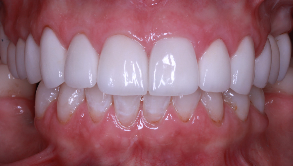
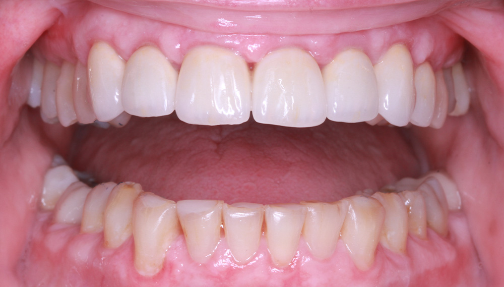
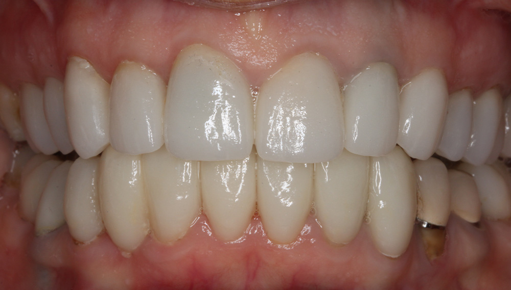
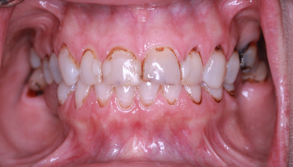
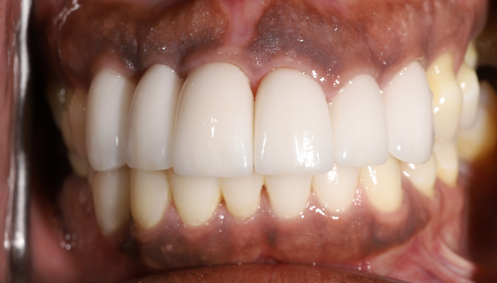
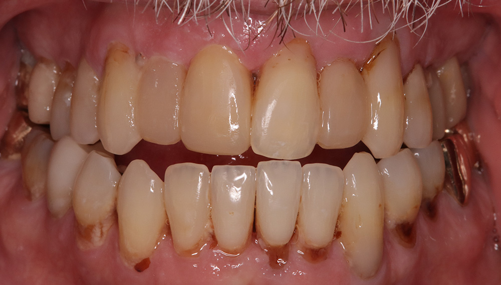
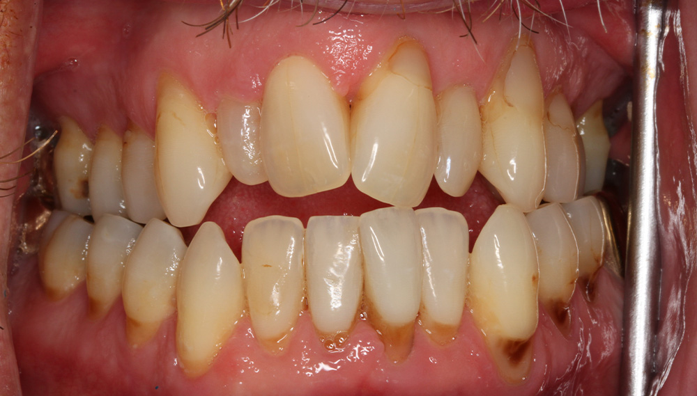
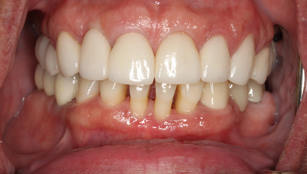
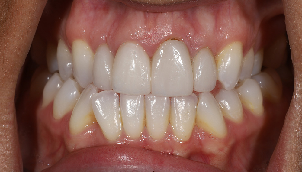
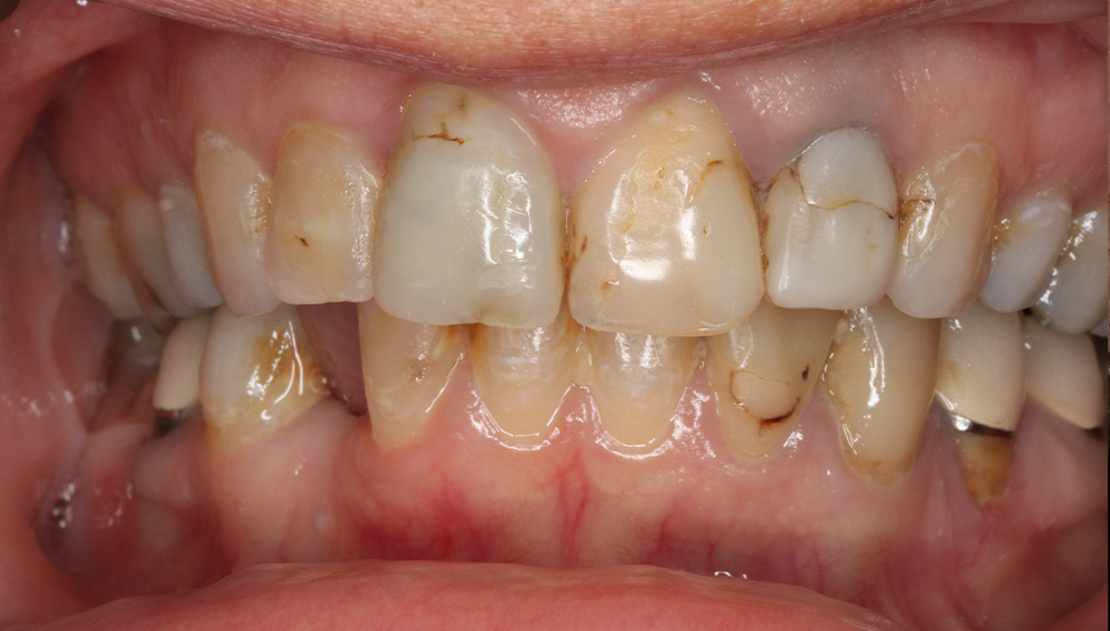
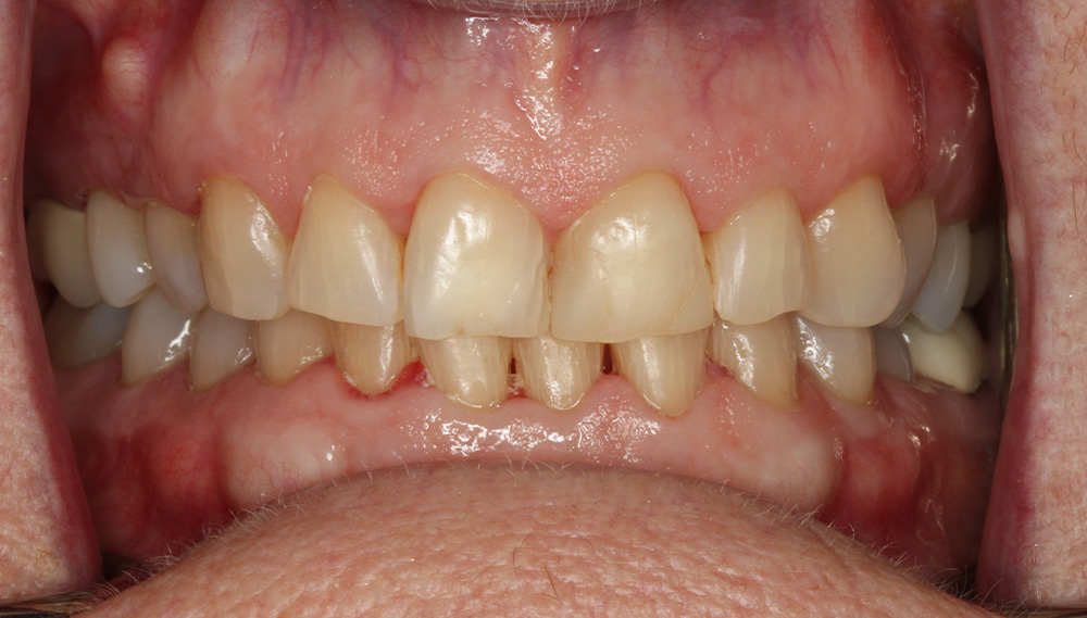
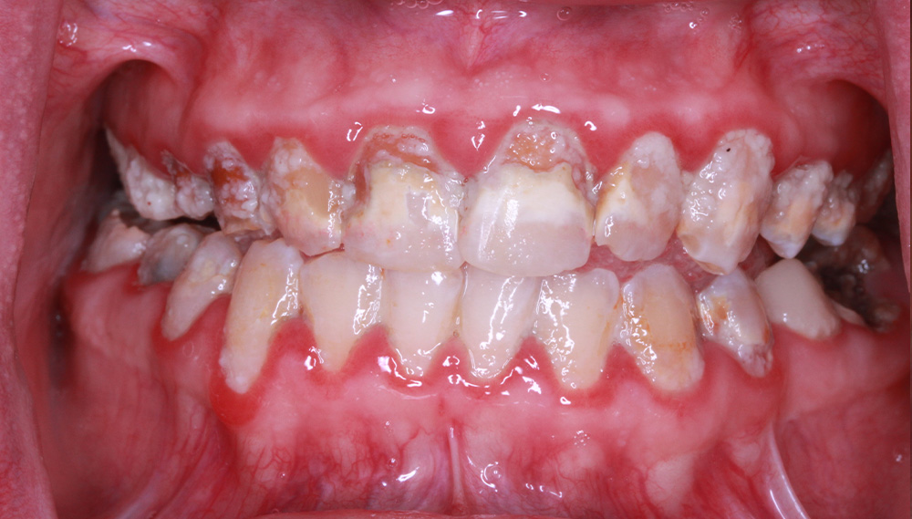
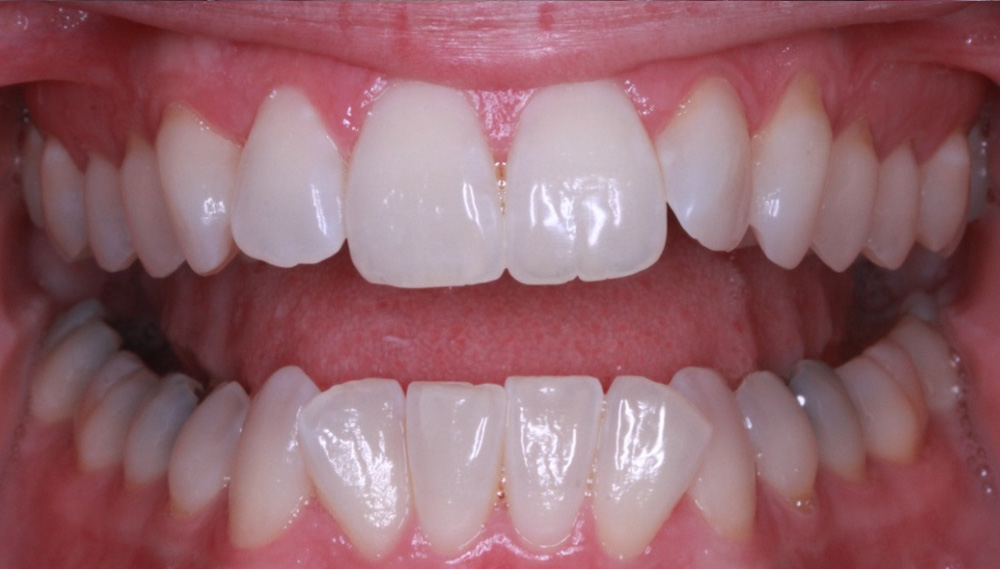
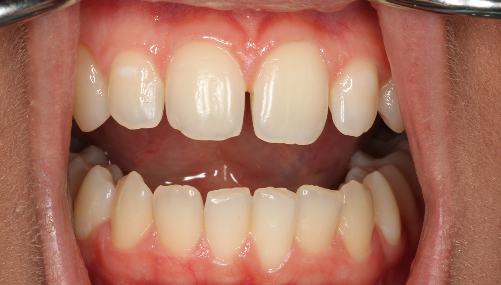
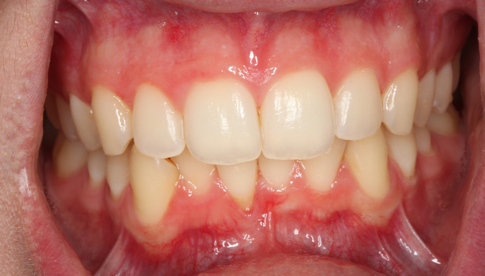
Smile Gallery

Ready to Schedule?

Please fill out the following:

Thank You

We have received your form submission and appreciate your feedback. If you have any additional questions or comments please feel free to contact us directly.

We hope to see you again soon!

Submit
contact us